Dr. Sandberg and our dentistry team provide dramatic smile transformations at the South Jersey Center for Dental Medicine — but don’t just take our word for it. See a small sample of our actual dentistry patients that have improved their smiles and their confidence. We have put together a Smile Gallery to let you see what’s possible when you visit our highly-trained, experienced dentistry team for comprehensive dental care. Browse through our most impressive before-and-afters, and let your imagination wander. We look forward to transforming your smile, too! Marlton, Voorhees, and Cherry Hill dental patients are invited to book an appointment.
Before
After
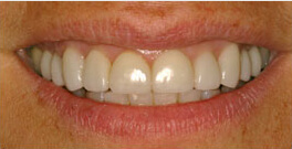
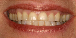
J.L. had a common condition where the upper front teeth (lateral incisors) develop smaller than normal size. This is often cosmetically troubling since it leaves large gaps between the upper front teeth or an asymmetric smile. We corrected this with orthodontics to properly position the teeth and then two ceramic veneers to idealize the form and size of the malformed teeth.
Before
After
M.B. had her front teeth bonded and filled numerous times and wanted a more durable solution that would also improve the appearance of her smile, as well as, the strength. The solution was all-ceramic crowns for the upper front four teeth.
Before After
Rochelle was not happy with the chipping and wear of her upper front teeth and decided to rejuvenate her smile. I crafted all ceramic crowns to restore her front four incisor teeth and enhance her smile
Before After
Betty M. had a painful gum condition, couldn't eat comfortably and was unhappy with her appearance which didn't match her friendly and outgoing personality. After her implant based treatment, she now can enjoy her cheesesteak sandwiches again and can smile with pride. She sent us a beautiful card which I am happy to share.
Before After
This is my beautiful wife of nearly 37 years, Diana. I always loved her smile but when it started to wear down, we decided to refresh her smile with veneers. Veneers are super thin ceramics that are bonded to your teeth. We can restore the length of worn teeth and whiten the shade at the same time. She is beautiful don't you think?
Before After
Before AfterSteve was looking for a brighter smile and got it with KÖR deep whitening
Before AfterStan was unhappy with the appearance of his teeth for many years and was concerned that they were wearing away. Reconstruction with ceramic crowns was the answer. A handsome new smile works wonders!
Before After"Dr. Sandberg and his staff brought back my confidence to smile. They are very efficient, professional, and caring and no waiting! 5 stars! Excellent work." -J.H.
Before After"What can I say about giving me back my smile? Your kindness and expertise made me a new person. I am truly happy happy with the results."
Before AfterJ.B. was ashamed to smile in public as her front teeth had worn and discolored. After Invisalign and ceramic veneers, she grins proudly.
Before AfterI.B. is a teacher who was self-conscious of her smile due to the severe twist of her front tooth. Besides the obvious rotation of the incisor, two other teeth were too narrow to give her a balanced smile. I used Damon orthodontic braces and 2 veneers to give her back the smile she uses so frequently. Like many other patients, her only regret was that she hadn't done it sooner.
Before After"Perfection is difficult to find. I consider myself lucky that I have found it! Great work...." P.C. had severely worn his front teeth over time. After seeing what was possible with cosmetic dentistry, he decided it was time to rehabilitate his smile. Porcelain veneers were used to return the youthful appearance to P.C.'s grin.
Before AfterL.C. was dissatisfied with the shade and appearance of her front teeth. She now smiles with pride and renewed confidence.
Before AfterK.D. was very self-conscious about the large space and misalignment of his upper front teeth. A combination of orthodontic treatment and porcelain veneers gave him the smile he had previously only dreamed about.
Before After"I am very pleased with the appearance and function of the crowns on my front teeth. I no longer have to worry about any further chipping of these teeth and they always look great." J.G. had a history of acid reflux which caused her upper teeth to erode and chip at the edges. She became worried when her teeth would chip unpredictably, becoming uneven and ragged. She took the initiative to prevent further damage, as well as, enhance the appearance of her smile. Crowns were the solution to J.G.'s problems.
Before AfterL.H. was able to 'close the gap' with bonding in one visit.
Before AfterM.B. was missing two upper front teeth from birth which allowed his other teeth to shift and left large gaps. I straightened his teeth and recreated the proper spacing required to replace the missing teeth using bonded bridges. M.B. proudly beams with his new smile!
Before After"I was unhappy with the way my front teeth had gotten worn down. I was worried that veneers would not look natural but Dr. Sandberg made me comfortable that they would look like 'my teeth.' I am thrilled with my rejuvenated smile."
Before AfterGabby R. wanted to improve the appearance and alignment of her upper front teeth. This was accomplished in 2 visits with minimal prep veneers. Can you tell which ones?
Before AfterAnna D. completed her braces in 18 months using low-force, low-friction technology. The treatment not only improved her smile but also her facial profile.
Before After"Nick always disliked the gap between his 2 front teeth so when he found out it could be fixed in one visit with bonding, he was thrilled."
Before AfterRobin always wanted her teeth whitened but it wasn't possible until we introduced 'deep bleaching' techniques with the Kor System, that it became a reality. Super smile!
Before AfterIeva, who you may recognize as my dental assistant, recently had her smile makeover completed. I treated her with a combination of the Six Month Smiles Technique of rapid orthodontic treatment and ceramic veneers. Wow!
Before AfterJ.H. Was looking for a noninvasive solution to the discoloration of his teeth caused by tetracycline as a child. Maximum teeth whitening with the Kor system was the answer to his wish. Kor is a combined at home and in office bleaching system developed for difficult to treat tooth darkening.
Before AfterLT was treated with a common antibiotic, tetracycline as a child. Tetracycline when taken as a child, while the teeth are developing causes a deep discoloration of the teeth that is resistant to most forms of teeth whitening and bleaching. A number of years ago, I discovered a technique for whitening even tetracycline-discolored teeth, known as Kor Whitening. It made a tremendous improvement for LT's smile.
Before AfterC.T. wanted an improvement for her smile that was efficient and durable. Having a high lip line can be challenging but porcelain veneers can be a great answer to correcting many problematic smiles. Ask us if it will work for you.
Before AfterWe dramatically improved K.E.'s smile with short term orthodontic treatment in just over 6 months. Ask us if Six Month Smiles is an option for your smile!